Ultrazvuk Voluson Expert 22

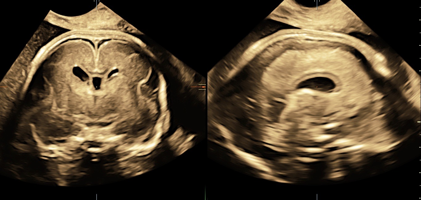
Naše klinika prenatální péče a genetiky nově disponuje nejvýkonnějším ultrazvukovým přístrojem na trhu –Voluson™ Expert 22 od GE Healthcare. Špičkový systém přináší zcela nový standard v oblasti prenatální diagnostiky.

  • přesnější a detailnější obrazy miminka
  • algoritmy umělé inteligence
  • zkrácení časové náročnosti diagnostických vyšetření

„VolusonTM Expert 22 je přístrojem, který disponuje nejmodernějšími technologiemi pro zobrazování plodu ultrazvukem. Vysoká kvalita obrazu zaručuje mimořádně detailní a přesné zobrazení jednotlivých struktur plodu včetně jeho cévního zásobení. Tyto parametry nejen že zvyšují přesnost naší diagnostiky, ale hlavně posouvají naše možnosti záchytu vrozených vad do časnějších fází těhotenství. Kvalitní 3D/4D technologie zaručuje precizní posouzení prostorových vztahů. Bez její dostupnosti si dnes například nedokážeme představit cílené vyšetření mozku plodu a významně nám dokáže pomoci i v upřesnění celé řady dalších abnormálních nálezů. Takovéto přístrojové vybavení vnímáme jako nepodkročitelnou podmínku pro poskytování prenatální diagnostiky a té nejvyšší možné úrovni, “ prof. MUDr. Ivana Kacerovská Musilová, Ph.D. Odborný garant a gynekolog

„Jako první a dosud jediné zdravotnické zařízení v Pardubickém kraji můžeme našim klientkám nabídnout diagnostiku pomocí této špičkové technologie, kterou dosud využívají v ČR pouze jednotky specializovaných center. Díky Voluson™ Expert 22 jsme schopni detekovat i velmi diskrétní vady, které mnohdy může být velmi složité zobrazit na starších technologiích, dále tím zvyšujeme přesnost diagnostiky plodu. Naše pacientky mají jistotu, že dostávají tu nejlepší možnou péči s využitím nejmodernějších technologií dostupných v oblasti prenatální medicíny, “ dodává Ing. Ondřej Michalovský, výkonný ředitel společnosti

Partneři

Smluvní zdravotní pojišťovny

Zavolejte nám

+420 466 611 203

Nebo nám napište

Kontaktní formulář neslouží k objednávání klientů.